|
|

Aktuelles vom Bagalutenhof 2018 |
Nun ist Cara schon in der 7. Trächtigkeitswoche. Unglaublich, wie schnell die Zeit mal wieder vergeht.
Es geht der baldigen Hundemutter immer noch suuuuper und sie hat eigentlich auch nur ein Problem und das heißt Fressen!
Cara ist nur noch "hungerleidend" und von morgens bis abends läuft sie mit langen Sabberfäden herum. Das sieht nicht wirklich nett aus, was einem Bagaluten aber ziemlich egal ist, und es gibt kaum noch eine getragene Menschenhose ohne große Sabberflecken.
Mittlerweile haben wir ihre Futterrationen auf drei bis vier Mahlzeiten verteilt, damit sie nicht zu viel Masse im Magen hat. Dennoch scheint es ihr nie zu reichen und sie versucht unser Essen zu klauen, wenn wir mal mit den Gedanken woanders sind.... auch die Weihnachtsleckereien stehen momentan sehr hoch im Kurs bei ihr. *lach*
Zudem bettelt Cara was das Zeug hält und sie ist auch überhaupt nicht davon beeindruckt, wenn wir ihr mal etwas deutlicher zu verstehen geben, dass wir unser Essen nicht mit ihr teilen möchten.
Egal, sie trauert jedem Krümelchen nach, der nicht in ihrer eigenen Verwertungsanlage landet. :-)
Was die Bewegung angeht, so ist Cara immer noch sehr gerne mit mir unterwegs, sei es ein ruhiger Spaziergang oder eine schnellere Joggingtour.
 |
Cara am Anfang der 7. Trächtigkeitswoche.
|
Caras schöne, schlanke Modelfigur ist mittlerweile mehr als ruiniert. Äußerlich ist sie jetzt ganz klar trächtig. Wenn sie sich hinsetzt gleicht es bereits einer kleinen Ente. Eine ordentliche Kugel ist jetzt dort, wo früher ihre schlanke Taille war. Das Fell steht an den Seiten ab und die Zitzen haben einen enormen Wachstumsprozess durchlaufen. Es ist wirklich faszinierend ihre Verwandlung live mitzuerleben und ich bin gespannt, wie die kommende Woche verlaufen wird. :-)
|
Heute waren wir nochmal kurz, bevor die Festtage nun wirklich vor der Tür stehen, mit unserer Cara zum H-Wurf-Trächtigkeits-TÜV. :-)
Unsere Maus hat bereits drei Kilo zugenommen und unsere Tierärztin ist mehr als zufrieden mit ihr.
|
Wir feiern "Trächtigkeits-Bergfest" mit einem kleinen Zwischenbericht. :-)
Bisher ist Caras Trächtigkeit wie im Lehrbuch beschrieben verlaufen. Sprich, sie wollte anfangs gerne mehr schlafen, sie hatte in der vierten und fünften Woche auch drei, vier Tage wo das Futter nicht so gut geschmeckt hat und auch den typischen Trächtigkeitsausfluss hat meine schwarze Maus.
Und aktuell?!... ist
Caras Fressgier mal wieder nicht zu bremsen und sie versucht uns quasi jedes Brot aus der Hand zu klauen. :-)
Wir haben zwar das Futter umgestellt und auch die Mengen leicht erhöht und dennoch kommt sie sich vor wie ein armer Hungerleider.
Selbst die ganzen zusätzlichen Leckereien, die sie von den Besuchern bekommt, sind in Caras Augen
nur ein Tropfen auf dem heißen Stein... sie will immer mehr, bekommt aber natürlich nicht mehr.
Da bleiben wir auch in den kommenden Wochen ganz konsequent.
Caras Bäuchlein wird nun auch langsam größer... das war's also fürs Erste mit der Modelfigur. :-) Nichtsdestotrotz nimmt sie darauf nicht unbedingt Rücksicht. Sie spielt unverändert gerne eine kleine Runde mit ihrer Tochter Enja und wenn Opa Leckischmecki zur Tür reinkommt, muss dieser auch noch kurz vor Freude angesprungen werden.
Caras künftige Milchbar hat sich auch schon ordentlich verändert und wenn sie liegt, schiebt sie schon mal lieber die Beine weg, als sie anzuziehen.
Zusammengefasst, Cara geht es wirklich seeeehr gut und wir werden die kommenden Wochen bestimmt gut über die Bühne bringen, da bin ich mir ganz sicher. :-)
|
Unser B-Wurf feiert heute seinen neunten Geburtstag!!!
Unglaublich wie schnell mal wieder ein Lebensjahr vergangen ist.
Neun Jahre sind unsere B-Kinder
nun schon alt und merkt euch eins, ihr gehört noch ganz lange nicht zum alten Eisen. ;-)
Haltet auch die kommenden drei, vier Jahre eure Dosenöffner ordentlich auf Trab, genau so wie ihr es die letzten neun Jahre gemacht habt. :-)
Liebe B-Familien, hoffentlich habt ihr noch viel Freude an euren Bagaluten!!!
Herzlichen Glückwunsch zum Geburtstag!!!
Wir wünschen euch Gesundheit und alles erdenklich Liebe.... auf dass ihr noch viele glückliche und vor allem gesunde Jahren mit euren Familien erleben dürft!!!
|
Hier geht es zu Caras Trächtigkeitskalender.
|
Am Montag war also der Tag der Tage. Der Tag an dem man Gewissheit bekommt, ob die Hündin aufgenommen hat oder nicht.
Auch wenn in den letzten Tagen einiges für eine Trächtigkeit gesprochen hat, so wollten wir es gerne
von unserer Tierärztin Heike Trei absegnen lassen. :-)
|
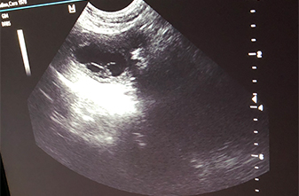
Beim Ultraschall wurden auf Anhieb einige Fruchtanlagen gesichtet. Die genaue Anzahl wollte ich aber nicht wissen.... ein bisschen Spannung soll uns und den Welpeninteressenten schon noch in den kommenden Wochen erhalten bleiben. ;-) |
Wir freuen uns einfach riesig darüber, dass bald wieder kleine H-Racker den Bagalutenhof besetzen werden.
Bis dato werden wir Cara weiterhin fit halten und auf unser Essen aufpassen. :-)
|
Heute haben Manfred und Dakota vom Bagalutenhof an der Winterprüfung beim ADRK in Münster teilgenommen.
Das eingespielte Team erreichte trotz starkem Regen und kräftigen Windböen vorzügliche 96 Punkte.
Manfred und Dakota, das ist mal wieder ganz, ganz toll... herzlichen Glückwunsch!!! Macht weiter so.
|
Heute haben Anika und ihre Bali vom Bagalutenhof (gen. Alva) an einer Prüfung beim Dobermann-Verein in Tiste teilgenommen.
Alva hat auf dieser Veranstaltung erstmalig an der Fährtenprüfung (FH 2) teilgenommen und diese mit tollen 91 Punkten, sehr gut, bestanden! :-)
Anika und Alva, ihr seid einfach klasse... herzlichen Glückwunsch!!! Mit dieser bestandenen Prüfung geht Alva-Maus in den wohlverdienten Hundesport-Ruhestand.
Rückblickend ist es wirklich unglaublich, was Anika und Alva alles erreicht und bestanden haben... denn eigentlich sollte Alva ein reiner Familienhund werden und Hundeplatz wirklich nur wegen der Welpenstunde. *lach*
Und das Ende vom Lied... Alva hat die BH/ VT, die IPO1 bis 3, die FH1 und die FH 2 bestanden. Und wirklich keine Prüfung wurde knapp bestanden! Nein, alle mit wirklich tollen Punktzahlen.
Anika und Alva, ich bin mächtig stolz auf euch als Team und wünsche euch nun einen tollen, bestimmt nicht langweiligen, Hunde-Ruhestand. :-)
|
Heute haben Manfred und Dakota vom Bagalutenhof an der Landessiegerprüfung beim Dobermann-Verein in Osnabrück teilgenommen.
Das eingespielte Team erreichte gute 81 Punkte auf knöchelhoher Saat und bei regnerischem und stürmischen Wetter.
Manfred und Dakota, ihr seid einfach klasse... herzlichen Glückwunsch!!! Macht weiter so. :-)
|
Cara ist am 09.11.2018 erfolgreich von Aik Carpathia Heart verführt und gedeckt worden. Wenn alles gut läuft, wird unser H-Wurf um den 11.01.2019 unseren Bagalutenhof besetzen.
Für uns beginnt die spannende Zeit und hoffentlich wissen wir in 3,5 Wochen mehr.... dann geht's nämlich, zwecks Ultraschall-Untersuchung, zu unserer Tierärztin. :-)
|
Heute ist der Progesteron-Test gemacht worden. Laut Test und Untersuchungen sind die perfekten Tage für eine Belegung ca. von Freitag bis Sonntag.
Wir werden also morgen im Laufe des Tages die lange Reise nach Tschechien in Angriff nehmen,
um übermorgen ganz in Ruhe den ersten Deckversuch zu starten.
Wir freuen uns riesig auf unseren Aufenthalt bei Lenka und ihren Hovis in Kobylí. :-)
|
Juhuuu, das Warten hat ein Ende... Cara ist seit heute eeeendlich läufig.
Das Abenteuer "H-Wurf vom Bagalutenhof" geht also langsam los und die Vorfreude steigt.
|
Zehn Jahre sind es wert, dass man euch besonders ehrt. Darum wolln wir euch heut' sagen, es ist schön, dass wir euch haben!
Heute feiern unsere vier blonden A-Kinder vom Bagalutenhof Aarkje (gen. Kyra), Askan, Askjell und Amiro ihren 10. Geburtstag.
Herzlichen Glückwunsch meine lieben Kinder. Feiert heute ausgiebig und bleibt noch lange gesund und munter.
|
Manfred und Dakota vom Bagalutenhof waren wieder fleißig und haben am Wochenende an der Herbstprüfung beim BK Osnabrück teilgenommen.
Dakota hat auf dieser Veranstaltung wieder eine Fährtenprüfung (FH 2) erschnüffelt und diese erneut mit tollen 94 Punkten, sehr gut, bestanden! :-)
Manfred und Dakota, ihr seid unglaublich... herzlichen Glückwunsch!!! Macht weiter so. :-)
|
Heute haben Manfred und Dakota vom Bagalutenhof an der Herbstprüfung beim KfT Münster teilgenommen.
Das eingespielte Team erreichte erneut sehr gute 90 Punkte auf staubtrockenem Acker, bei sommerlichen Temperaturen und bei einem strengen Richter.
Manfred und Dakota, ihr seid einfach klasse... herzlichen Glückwunsch!!!
|
Heute hat Manfred mit seinem Dakota vom Bagalutenhof beim PHV Osnabrück an der Herbstprüfung teilgenommen. :-)
Dakota hat auf dieser Veranstaltung an der Fährtenprüfung (FH 2) teilgenommen und diese mit tollen 90 Punkten, sehr gut, bestanden! :-)
Manfred und Dakota, ihr seid einfach spitze... herzlichen Glückwunsch!!!
|
Heute haben Brigitte und Daja vom Bagalutenhof an einem Rally-Obedience Turnier beim GHSV Issum teilgenommen.
Daja hat ihre Aufgaben super gemeistert und hat mit 87 Punkten ihre Klasse 2 sehr gut bestanden!
Brigitte und Daja, herzlichen Glückwunsch zur bestandenen Prüfung und weiter so. :-)
|
Dakota vom Bagalutenhof ist gestern zum zweiten Mal Vater geworden. Im Zwinger Tallivahdin in Finnland haben zehn Welpen, in blond und schwarzmarken, das Licht der Welt erblickt. Wir schicken herzliche Glückwünsche in die Wurfkiste und wünschen gaaanz viel Spaß bei der Welpenaufzucht. :-)
|
Unser D-Wurf feiert heute seinen sechsten Geburtstag!!!
Unglaublich wie schnell die Jahre verfliegen... Gerade lagen unsere D-Kinder noch wie kleine Maulwürfe in der warmen Wurfkiste und nun sind es schon große und fast erwachsene Hovis.
Liebe D-Familien, hoffentlich habt ihr noch lange ganz viel Freude an und Spaß mit ihnen. :-)
Herzlichen Glückwunsch zum Geburtstag!!!
Wir wünschen euch Gesundheit und alles erdenklich Liebe.... auf dass ihr noch viele glückliche und vor allem gesunde Jahren mit euren Familien erleben dürft!!!
|
Heute gab es die zweite große Premiere bei "meinen" kleinen G-Zwergen. :-)
Astrid hat ihre Gracia vom Bagalutenhof, im zarten Alter von gerade mal vier Monaten, auf der RZV-Schau in Hohenpeißenberg vorgestellt.
Gracia hat ihre Vorstellung in der Babyklasse super toll gemeistert und hat sich ihr vielversprechend Platz 1 damit mehr als verdient. :-)
Wir freuen uns sehr mit Astrid über dieses Ergebnis und danken ihr für die Teilnahme an dieser Veranstaltung.
|
Gestern haben Mareike und ihr Fiete vom Bagalutenhof an der nationalen Ausstellung in Bremen teilgenommen. Sowohl für Fiete als auch für Mareike war es die allererste Hundeausstellung in ihrem Leben. :-)
Das Dreamteam hat die Jüngstenklasse in Angriff genommen und der schwarze Prinz hat seine Sache soooo toll und souverän gemeistert. So souverän, dass selbst Mareike es kaum glauben konnte. *lach*
Fiete hat ein vielversprechend Platz 1 erhalten und ich glaube Frauchen Mareike ist mächtig stolz auf ihren temperamentvollen Bagaluten. :-)
Herzlichen Glückwunsch zu diesem tollen Ergebnis, wir sind auch mächtig stolz auf euch. :-)
|
Nun ist die H-Wurf-Planung komplett für uns abgeschlossen. *freu*
Als Erstrüden haben wir den blonden, in Tschechien lebenden Traumrüden Aik Carpathia Heart
genehmigt bekommen.
Doch für den Fall der Fälle, z.B. wenn Aik krank ist, er meine Cara nicht decken mag oder die Besitzer im Urlaub sind, haben wir für Cara noch einen Ersatzrüden genehmigen lassen.
Unser Ersatzrüde soll der blonde, ebenfalls in Tschechien lebende Traumrüde Falcon Gora Monte sein.
Falcon ist ein bildschöner und ordentlich derber Rüde... und auch er würde sehr gut
zu meiner schwarzen Zaubermaus passen. :-)
|
Gestern gab es die erste große Premiere bei "meinen" kleinen G-Zwergen. :-)
Sandra ihre Galeija vom Bagalutenhof, im zarten Alter von gerade mal drei Monaten, auf der Clubsiegerschau des Schweizer Hovawart Clubs vorgestellt.
Galeija hat ihre Vorstellung in der Babyklasse gaaanz toll gemeistert und hat sich ihr vielversprechend Platz 1 damit mehr als verdient. :-)
Wir freuen uns sehr mit Sandra und Andi über dieses Ergebnis und danken Sandra für die Teilnahme an dieser Veranstaltung.
|
Heute haben Stephan und Debby beim Dänischen Hovawart Klub in Assens an der Leistungsprüfung, nach einer sehr heißen Übungswoche, teilgenommen.
Stephan und seine Debby haben sich dieses Mal an die IPO 1 rangetraut und diese auch ganz souverän
bestanden. :-)
Ihr Lieben, ihr habt das wirklich super gemacht und wir sind mächtig stolz auf euch..... und im Sommer 2019 könnt ihr dann ohne große Sorgen die IPO 2 in Dänemark in Angriff nehmen.
Weiterhin viel Spaß aufm Hundeplatz, ihr seht ja euer Fleiß wird ordentlich belohnt!!! :-)
|
Heute haben Manfred und Dakota vom Bagalutenhof beim Boxer Klub Lengerich an der Herbstprüfung teilgenommen.
Dakota hat im Alter von gerade mal 26 Monaten an der IPO I teilgenommen und diese auch mit einem ordentlich Ergebnis bestanden!!!! :-)
Lieber Manfred, ihr seid der Wahnsinn, das habt ihr wirklich super gemacht... und im Sommer 2015, wenn du wieder fit bist, könnt ihr dann ohne große Sorgen die IPO 2 in Angriff nehmen. ;-)
Weiterhin viel Spaß mit deinem Kindskopf auf dem Hundeplatz, ihr seht ja euer Fleiß wird ordentlich belohnt!!!
|
Heute waren Bintje (gen. Lucie) und Eefke (gen. Enie) auf der CACIB-Schau in Gießen mit von der Partie.
Die zwei
Bagalutinnen haben ihre Aufgabe super gemeistert und sie haben die Exterieurbegutachtung toll mitgemacht. So konnte Lucie in der Gebrauchshundklasse mit einem sehr gut Platz 1 belohnt werden und die blonde Enie in der Offenen Klasse mit einem sehr gut Platz 2.
Herzliche Glückwunsche schicken wir an Dirk und Petra nach Simmersbach und dicke Schmatzer an eure Mädels. :-)
|
Unser C-Wurf feiert heute den siebten Geburtstag.
Unglaublich wie schnell mal wieder ein Lebensjahr vergangen ist. Sieben Jahre sind unsere C-Kinder nun schon alt und merkt euch eins, ihr gehört noch lange nicht zum alten Eisen. ;-)
Haltet auch die kommenden fünf, sechs Jahre eure Dosenöffner ordentlich auf Trab, genau so wie ihr es die letzten sieben Jahre gemacht habt. :-)
Liebe C-Familien, hoffentlich habt ihr noch gaaanz viel Freude an euren Bagaluten!!!

Herzlichen Glückwunsch zum Geburtstag!!!
Wir wünschen euch Gesundheit und alles Liebe.... auf dass ihr noch viele glückliche und gesunde Jahren mit euren Familien erleben dürft!!!
|
Unser E-Wurf feiert heute seinen dritten Geburtstag.
Unglaublich wie schnell die Jahre verfliegen... Gerade lagen die ganz frischen E-Kinder noch wie kleine Maulwürfe in der muckeligen Wurfkiste und nun sind es schon große und ein bisschen erwachsene Hovis, die mit ihren Besitzern schon ganz viel erlebt und erreicht haben.
Liebe E-Familien, hoffentlich habt ihr noch viel Freude an und Spaß mit ihnen. :-)

Herzlichen Glückwunsch zum Geburtstag!!!
Wir wünschen euch Gesundheit und alles Liebe.... auf dass ihr noch viele glückliche und gesunde Jahren mit euren Familien erleben dürft!!!
|
Heute haben die schwarzmarkene Hündin Hoffen-Haus Penrosa und Dakota vom Bagalutenhof Hochzeit gefeiert. :-)
Wir freuen uns sehr für Manfred, Brigitte und für die Züchterin Minna Tapojärvi und drücken gaaanz dolle die Daumen, dass im September viele, kleine und vor allem gesunde Fellnasen im Zwinger Tallivahdin in Finnland das Licht der Welt erblicken werden. :-)
|
Heute ist nun der Tag der Tage...der Auszug der G-Kinder in die große weite Welt, in ihr neues Zuhause, hat begonnen.
Heute in den frühen Morgenstunden haben sich Sandra und Paul mit ihrem Gino auf den Weg nach Bremen gemacht, kurz danach ist Grizzly mit Margit und Michael nach Brokstedt losgezogen und anschließend haben sich Sandra und Andy mit Galeija und Gracia auf den Weg in Richtung Schweiz gemacht. Gracia wurde bei Karlsruhe an die Besitzerin Astrid übergeben.
Nach einer kurzen Pause haben wir Monika und Dieter mit Garon auf die Reise nach Matten bei Interlaken geschickt. Am frühen Nachmittag haben Hanna und Gerriet ihren Grobi in die Arme geschlossen. Nach einem schnellen Latte Macchiato haben sie sich auf die Reise nach Hameln gemacht.
Der Abschied fällt uns soooooo schwer, aber alle haben ein supertolles Zuhause gefunden, so dass wir
ganz beruhigt in die Zukunft schauen können.
Liebe G-Bagaluten-Familien, wir wünschen euch ganz viel Spaß mit den Bagaluten!!! Habt sie genau so lieb, wie wir die letzten acht Wochen und lasst was von euch hören :-)
|
Heute war die Landesgruppen-Zuchtwartin Heike Lorenz-Haag zu Besuch aufm Bagalutenhof, um die abschließende Wurfabnahme mit Welpenverhaltenstest durchzuführen.
Alle Bagaluten zeigten sich sehr menschenbezogen, sehr aktiv und lebhaft und absolut freundlich und alle erhielten eine megatolle Bewertung.
Am meisten freut es uns aber, dass der komplette G-Wurf vom Bagalutenhof fehlerfrei ist. Das ist ein tolles Ergebnis und wir sind sehr, sehr glücklich darüber und natürlich sind wir mächtig stolz auf unsere Bonsaibagaluten. :-)
Zudem möchten wir uns wieder ganz dolle bei unser Zuchtwartin Heike für die megatolle Wurfbetreuung bedanken!
|
Heute war unsere Tierärztin Heike Trei zu Gast bei uns aufm Bagalutenhof, um unsere G'lies auf Herz und Nieren zu überprüfen. :-)
Als erstes stand die große Inspektion auf dem Programm. Ohren, Augen, Zähne und Zahnschluß, Bauchnabel, Haut, Herz und die Ruten wurden bei jedem einzelnen Bagaluten kontrolliert und bei den Rüden zusätzlich die Hoden. Bei den vier Rüden konnte man die beiden Hoden ganz deutlich fühlen.
Inspektionsergebnis: Alle G-Bagaluten sind kerngesund. :-)
Anschließend wurden die kleinen Bagaluten gechipt, das erste Mal geimpft und es wurde Blut für die RZV-Gendatenbank abgenommen.
Wir sind rundherum zufrieden und ganz stolz, dass sich alle Hundekinder so klasse gezeigt haben.
Nun fehlt nur noch die abschließende Wurfabnahme, welche am Mittwoch stattfinden wird... und dann können wir unsere G-Kinder in die große, weite Welt entlassen. Bis dato bleiben uns aber noch einige Tage mit den Welpen, die wir auf alle Fälle genießen werden. :-)
|
Heute gab es die erste große Premiere bei "meinen" kleinen F-Zwergen. :-)
Feebee vom Bagalutenhof hat an der großen RZV-Clubsiegerschau in Wasbek teilgenommen.
Ele und Feebee haben die Babyklasse in Angriff genommen und die schwarze Zaubermaus hat ihre Sache soooo toll gemacht und konnte sich gegen drei weitere Babyklasse-Hündinnen durchsetzen.
Feebee hat ein vielversprechend Platz 1 erhalten und ich glaube Frauchen Ele ist mächtig stolz auf ihre temperamentvolle Maus. :-)
Herzlichen Glückwunsch zu diesem tollen Ergebnis, wir sind auch mächtig stolz auf euch. :-)
|
Sieben Wochen sind unsere G'lies vom Bagalutenhof nun schon alt und die Abgabe nähert sich mit gaaaanz großen Schritten. Die kleinen Mäuse sind mittlerweile schon richtig groß und schwer und sie haben ihren kompletten Welpengarten ordentlich in Beschlag genommen.
Alle Spielgeräte werden ausgiebig benutzt und auch die Hosenbeine, die Schuhe und Ärmel der Welpenbesucher werden gerne für kleine und große Zerrspiele zweckentfremdet. :-)
Am Donnerstag und heute stand für die Welpen das Mitfahren im Auto auf dem Trainingsprogramm. ;-)
An beiden Tagen haben wir die Krummhörner Prärie unsicher gemacht. Die Kleinen haben die Autofahrt suuuuper gemeistert und auch die fremde Umgebung stellte für unsere Bonsai-Hovis überhaupt kein Problem dar... alles wurde genau erkundet und abgeschnüffelt. :-)
Am kommenden Montag werden die G-Kinder unsere Tierärztin Heike Trei aus Canum kennenlernen und die letzte Wurfabnahme wird am kommenden Mittwoch stattfinden... und dann ist schon bald die aufregende Welpenzeit in unserem Hause vorbei... aber zum Glück bleiben uns noch sechs spannende Tage mit den süßen Zwergen. :-)
|
Fünf Wochen sind unsere G-Kinder vom Bagalutenhof nun schon alt. Die kleinen Mäuse wachsen, wachsen, wachsen und gedeihen und alle haben schon ordentlich an Gewicht zugelegt. Es ist eine wahre Freude die Kleinen im großen Welpengarten zu beobachten. :-) Sie sind unerschrocken und neugierig und alle Welpenspielgeräte werden sofort in Beschlag genommen. Sei es die Hängebrücke, der 6-Fach-Tunnel, die Rampe, das Bällebad in der Schildkröte oder in der Eisenbahn.... alles wird ordentlich genutzt und sind sie mal müde, so schlafen sie sehr gerne auf der überdachten Terrasse auf einer muckeligen Decke und verarbeiten dort ihre Erlebnisse in wilden Träumen :-)
|
Heute war unsere Landesgruppen-Zuchtwartin Heike Lorenz-Haag wieder zu Besuch und die zweite Wurfabnahme stand auf dem Programm. Alle G'lies vom Bagalutenhof sind topfit, sie haben tolle Gewichte (4220 bis 4760g) und es wurden keine zuchtausschließenden Fehler festgestellt.
Wir freuen uns sehr. :-)
|
Eefke vom Bagalutenhof hat gestern, zusammen mit ihrem Herrchen Dirk, die Begleithundeprüfung (BH/VT) beim SV Ewersbach bestanden!
Herzlichen Glückwunsch zur bestandenen BH, ihr Lieben!!! Wir sind mächtig stolz auf euch und wünschen weiterhin viel Spaß auf dem Hundeplatz. :-)
|
Und der liebe Hundegott sprach "Es werde Licht"... In den letzten beiden Tagen hat sich einiges in der Wurfkiste getan. Alle G-Kinder haben nach und nach ihre Augen und Ohren geöffnet :-) Welche eine Freude ist es, in ihre noch bläulichen Augen zu schauen. :-) Seit sie mehr wahrnehmen können, laufen die kleinen Bagaluten immer schneller und sicherer durch die Wurfkiste, sie verlassen diese auch schon für kleine Ausflüge und auch kleine Spielchen unter den Geschwister finden nun statt.
Enja kümmert sich immer noch hingebungsvoll um ihre Kinder und sie erlaubt jetzt auch Banja und Cara den Kontakt zu ihren Mäusen.
Mal gucken was die nächsten Tage so im Bagalutenhof passiert und wir freuen uns auf die aktive Zeit mit den G-Kindern vom Bagalutenhof. :-)
|
Eine Woche sind unsere G-Kinder vom Bagalutenhof nun schon alt. Die kleinen Mäuse wachsen und gedeihen und alle haben die 1000g Körpergewicht erreicht. Es ist eine wahre Freude in die Welpenkiste zu schauen und auch Mama Enja ist richtig, richtig stolz auf ihren ersten Nachwuchs :-)... und das kann sie auch ruhig sein. Die Kleinen tapsen schon fleißig mit geschlossenen Augen durch die Wurfkiste und wenn sie Enjas Milchbar nicht schnell genug erreichen oder nicht ihre Lieblingszitze bekommen, geben sie auch schon kleine Beller von sich. Es ist wirklich zu niedlich. :-)
|
Heute war unsere Landesgruppen-Zuchtwartin Heike Lorenz-Haag zu Besuch und die erste Wurfabnahme wurde durchgeführt. Alle G'lies vom Bagalutenhof sind topfit und es wurden keine zuchtausschließenden Fehler festgestellt. Wir freuen uns sehr über dieses Ergebnis. :-)
Seit heute stehen auch die Namen der kleinen Bagaluten fest. Die vier Rüden heißen nun ganz offiziell Garon, Gino, Grizzly und Grobi. Die zwei Mädels heißen Galeija und Gracia. :-)
|
Juhuuu, unsere G-Kinder haben endlich unseren Bagalutenhof besetzt. :-)
Von gestern auf heute Nacht, in der Zeit von 22:12 Uhr bis 02:40 Uhr, haben sechs kleine und seeeehr schwere Bagaluten das Licht der Welt erblickt.
Es sind:
4 Rüden schwarzmarken und
2 Hündinnen schwarzmarken
Herzlich Willkommen im Leben!!!
Enja hat die Geburt sooooo toll gemeistert und überstanden. Ihr geht es sehr gut und sie genießt ihr neues Mutterglück in vollen Zügen. :-)
Sie kümmert sich wirklich rührend um ihre Kleinen und wir sitzen zu gerne staunend vor der Wurfkiste.
Vielen Dank an alle, die in den letzten Tag so fleißig mitgefiebert haben... :-)
Alle Welpen haben bereits ihr neues Zuhause gefunden und die neuen Familien können es kaum erwarten, dass die acht Wochen um sind. *grins*
|
So, nun haben wir schon mehr als die erste Hälfte der 9. Trächtigkeitswoche hinter uns gebracht und hier kommt ein kleiner Statusbericht. :-)
Enja geht es noch sehr gut. Zwar ist sie ein bisschen kurzatmig, sie hechelt temperaturbedingt mehr als sonst, das Laufen fällt ihr zwar zunehmend schwerer und auch die perfekte Liegeposition gibt es nicht mehr aber sie hat ihre Lebensfreunde noch nicht verloren.
 |
Enja in der Mitte der 9. Trächtigkeitswoche.
Mehr Fotos gibt's hier. |
So hat sie zum Beispiel beim gestrigen Deichspaziergang eine Toberunde mit ihrem Ball eingefordert. :-)
Enjas Temperatur ist noch im Normalbereich, ihr Appetit ist unendlich (heute durfte mein Hamburger dran glauben) und gebuddelt wird auch noch nicht.
Ich bin gespannt wann es losgeht und sobald es irgendeine Neuigkeit gibt, werde ich hier darüber berichten, versprochen. ;-)
|
Heute waren Bintje (gen. Lucie) und Eefke (gen. Enie) auf der CAC-Schau in Bobenheim-Roxheim mit von der Partie.
Die zwei
Bagalutinnen haben ihre Aufgabe super gemeistert und sie haben die Exterieurbegutachtung toll mitgemacht. So konnte Lucie in der Gebrauchshundklasse mit vorzüglich Platz 1 belohnt werden und die blonde Enie in der Offenen Klasse mit einem vorzüglich Platz 2.
Herzliche Glückwunsche schicken wir an Dirk und Petra nach Simmersbach und dicke Schmatzer an eure Mädels. :-)
|
Nun hat unsere Enja auch die 8. Trächtigkeitswoche geschafft und es geht ihr nach wie vor hervorragend. Ihre Fressgier hat sich auf ein Maximum gesteigert und überbietet alles, was wir in den letzten Trächtigkeitswochen mit Enja erlebt haben.
Ihre Figur ist mittlerweile mehr als ruiniert. :-) Sie wirkt immer unförmiger und irgendwie passt die Kopfgröße auch nicht mehr zum Rest des Körpers.
Der Wettergott meint es allerdings nicht so gut mit Enja. Aufgrund der hohen und zum Teil wechselhaften Temperaturen muss man sie zu kleineren Lauftouren überreden. Aber wie sagt der Ostfriese so schön „wat mutt, dat mutt.“ ;-)
Jede nur verfügbare Minute verbringen wir nun mit ihr und wir haben seit heute alle Vorbereitungen getroffen.
Das Welpenzimmer ist wieder aufgebaut, die Wurfkiste steht, die gesamte Wurfwäsche ist durchgewaschen und die Welpenmilch, für Notfälle, ist auch aus dem Schwabenländle eingetrudelt. :-)
Nun müssen wir vielleicht nur noch vier, fünf Tage warten…. es ist und bleibt mal wieder seeeehr spannend und aufregend sowieso. ;-)
Bis dato werde ich Enja weiterhin genüüügend Futter geben (obwohl Enja das bestimmt ganz anders sehen wird) und die ein oder andere Tour werde ich auch noch mit ihr laufen gehen.
|
Gestern haben Manfred und Dakota vom Bagalutenhof an der Frühjahrsprüfung beim SV Wallenhorst teilgenommen.
Das eingespielte Team erreichte gute 85 Punkte auf staubtrockenem Acker, bei sommerlichen Temperaturen und bei einem strengen Richter.
Manfred und Dakota, ihr seid einfach klasse... herzlichen Glückwunsch!!! Macht weiter so. :-)
|
Nun ist unsere Enja schon in der Mitte der 7. Trächtigkeitswoche. Unglaublich, wie schnell mal wieder die Zeit vergeht.
Es geht der baldigen Hundemutter hervorragend und sie geht auch immer noch sehr gerne eine große Runde mit mir spazieren. :-) Das Tempo zieht sie zwar nur an, wenn wir zwischendurch eine Runde mit dem Ball spielen aber wir wollen uns mal nicht über ihre Geschwindkeit beschweren... vor allem, wenn man ihren dicken Bauch hin und her schwingen sieht. :-)
Zum Glück ist Enja nicht genau so hungerleidend wie ihre Mutter Cara während der Trächtigkeit. Enja bettelt zwar mehr als sonst aaaaber sie ist noch nicht auf die Idee gekommen, uns das Essen vom Tisch zu klauen.
 |
Enja in der 7. Trächtigkeitswoche.
Mehr Fotos gibt's hier. |
Enjas schöne, schlanke Modelfigur ist mittlerweile mehr als ruiniert. Äußerlich ist sie jetzt ganz klar trächtig. Wenn sie sich hinsetzt gleicht es bereits einer kleinen Ente. Eine ordentliche Kugel ist jetzt dort, wo früher ihre schlanke Taille war. Das Fell steht an den Seiten ab und die Zitzen haben einen enormen Wachstumsprozess durchlaufen. Es ist wirklich faszinierend ihre Verwandlung live mitzuerleben und ich bin gespannt, wie die kommende Woche verlaufen wird. :-)
|
Heute haben Manfred und Dakota vom Bagalutenhof erneut an der Frühjahrsprüfung bei ihrem PHV Osnabrück teilgenommen.
Dakota hat auf dieser Veranstaltung an der Fährtenprüfung (FH 2) teilgenommen und diese mit tollen 84 Punkten, gut, bestanden! :-)
Manfred und Dakota, ihr seid einfach klasse... herzlichen Glückwunsch!!! Macht weiter so. :-)
|
Emil vom Bagalutenhof hat heute, zusammen mit seinem Herrchen Nils, die Begleithundeprüfung (BH/VT) beim HSV Bochum-Riemke (DVG) bestanden!
Herzlichen Glückwunsch zur bestandenen BH, ihr Lieben!!! Wir sind mächtig, mächtig stolz auf euch und wünschen weiterhin viel Spaß auf dem Hundeplatz. :-)
|
Heute hat Manfred mit seinem Dakota vom Bagalutenhof beim PHV Osnabrück an der Frühjahrsprüfung teilgenommen. :-)
Manfred und Dakota haben sich ein zweites Mal an die IPO 3 rangetraut und diese auch ganz souverän bestanden. (94/93/86a).
Herzlichen Glückwunsch zum tollen Ergebnis und weiter so. :-)
|
Gestern haben Manfred und Dakota vom Bagalutenhof an der Frühjahrsprüfung beim KfT Münster teilgenommen.
Dakota hat auf dieser Veranstaltung an der Fährtenprüfung (FH 2) teilgenommen und diese mit tollen 95 Punkten, sehr gut, bestanden! :-)
Mit diesem Ergebnis hatten sie zusätzlich den Tagessieg in der Tasche.
Manfred und Dakota, ihr seid einfach klasse... herzlichen Glückwunsch!!! Macht weiter so. :-)
|
Wir feiern erneut "Trächtigkeits-Bergfest" mit einem kleinen Zwischenbericht. :-)
Bisher ist Enjas Trächtigkeit total unspektakulär und wie im Lehrbuch beschrieben verlaufen. Sprich, sie wollte anfangs gerne mehr schlafen, sie hatte diesen verträumten Blick, sie hatte in der vierten Woche auch drei, vier Tage wo das Futter nicht ganz so gut wie sonst geschmeckt hat und auch den typischen Trächtigkeitsausfluss hatte mein kleiner Wirbelwind.
Und aktuell?!... ist
Enjas Fressgier absolut nicht mehr aufzuhalten und sie versucht uns quasi jedes Brot aus der Hand zu klauen. :-)
Wir haben zwar das Futter umgestellt und auch die Mengen leicht erhöht und dennoch ist sie verfressener denn je.
Selbst die ganzen zusätzlichen Leckerchen, die sie von den Besuchern bekommt, sind in Enjas Augen nur ein Tropfen auf dem heißen Stein... sie will immer mehr, bekommt aber natürlich nicht mehr.
Da bleiben wir auch in den kommenden Wochen ganz konsequent.
Enjas Bäuchlein wird nun auch langsam größer... das war's also fürs Erste mit der Ausstellungs-Modelfigur. :-) Nichtsdestotrotz nimmt sie darauf nicht unbedingt Rücksicht. Sie spielt unverändert gerne eine kleine Runde mit ihrer Mutter Cara oder Großtante Banja und wenn Opa Leckischmecki zur Tür reinkommt, muss dieser auch noch kurz vor Freude angesprungen werden.
Enjas künftige Milchbar hat sich auch schon ein wenig verändert und wenn sie liegt, schiebt sie schon mal lieber die Beine weg, als sie anzuziehen.
Zusammengefasst, Enja geht es wirklich sehr, sehr gut und wir werden die kommenden Wochen bestimmt gut über die Bühne bringen, da bin ich mir ganz sicher. :-)
|
Elia vom Bagalutenhof (gen. Aria) hat heute, zusammen mit ihrem Frauchen Margret, die Begleithundeprüfung (BH/VT) beim PHV Alstertal e.V. bestanden!
Herzlichen Glückwunsch zur bestandenen BH, ihr Lieben!!! Wir sind mächtig, mächtig stolz auf euch und wünschen weiterhin viel Spaß auf dem Hundeplatz oder auf dem Acker. ;-)
|
Heute haben Julia und ihre Esta vom Bagalutenhof beim HSV Halle-Nord e.V. an der Frühjahrsprüfung teilgenommen.
Julia und Esta haben sich dieses Mal an die BGH1 rangetraut und diese auch ganz souverän mit 91 Punkten, sehr gut,
bestanden. :-)
Wir sind megastolz auf euch... weiterhin ganz viel Spaß auf'm Hundeplatz. Ihr seht ja, euer Fleiß wird mehr als ordentlich belohnt!!! :-)
|
Heute ist nun der Tag der Tage...der Auszug der F-Kinder in die große weite Welt, in ihr neues Zuhause, hat begonnen.
Heute in den frühen Morgenstunden hat sich Linda mit ihrem Fenjo auf den Weg nach Portugal gemacht, kurz danach ist der Frodo mit Sabine und Ben losgezogen und anschließend ist der Fiete von Mareike und Michael abgeholt worden.
Morgen wird sich die kleine Feebee mit Ele und Andi auf die Reise nach Hamburg begeben und am Dienstag wird Claudia ihre Fine und Monika und Andre ihre Freda abholen.
Der Abschied fällt uns sehr, sehr schwer, aber alle haben ein supertolles Zuhause gefunden, so dass wir
ganz beruhigt in die Zukunft schauen können.
Liebe F-Bagaluten-Familien, wir wünschen euch ganz viel Spaß mit den Bagaluten!!! Habt sie genau so lieb, wie wir die letzten acht Wochen und lasst was von euch hören :-)
|
Heute war die Landesgruppen-Zuchtwartin Heike Lorenz-Haag zu Besuch aufm Bagalutenhof, um die abschließende Wurfabnahme mit Welpenverhaltenstest durchzuführen.
Alle Bagaluten zeigten sich sehr menschenbezogen, sehr aktiv und lebhaft und absolut freundlich und alle erhielten eine megatolle Bewertung.
Am meisten freut es uns aber, dass der komplette F-Wurf vom Bagalutenhof fehlerfrei ist. Das ist ein tolles Ergebnis und wir sind sehr, sehr glücklich darüber und natürlich sind wir mächtig stolz auf unsere Bonsaibagaluten. :-)
Zudem möchten wir uns ganz dolle bei unser Zuchtwartin für die tolle Wurfbetreuung bedanken!
|
Heute war also der Tag der Tage. Der Tag an dem man Gewissheit bekommt, ob die Hündin aufgenommen hat oder nicht.
Auch wenn Enjas Verhalten zu 100% für eine Trächtigkeit spricht, so wollten wir es gerne
von unserer Tierärztin Heike Trei absegnen lassen. :-)
|
Beim Ultraschall wurden auf Anhieb einige Fruchtanlagen gesichtet. Die genaue Anzahl wollte ich aber nicht wissen.... ein bisschen Spannung soll uns und den Welpeninteressenten schon noch in den kommenden Wochen erhalten bleiben. ;-) |
Wir freuen uns einfach riesig darüber, dass bald kleine G-Bagaluten den Bagalutenhof besetzen werden.
Bis dato werden wir Enja weiterhin fit halten und auf unser Essen aufpassen. :-)
|
Hier geht es zu Enjas Trächtigkeitskalender.
|
Heute war unsere Tierärztin Heike Trei zu Gast bei uns aufm Bagalutenhof, um unsere F'lies auf Herz und Nieren zu überprüfen. :-)
Als erstes stand die große Inspektion auf dem Programm. Ohren, Augen, Zähne und Zahnschluß, Bauchnabel, Haut, Herz und die Ruten wurden bei jedem einzelnen Bagaluten kontrolliert und bei den Rüden zusätzlich die Hoden. Bei den drei Rüden konnte man die beiden Hoden ganz deutlich fühlen.
Inspektionsergebnis: Alle F-Bagaluten sind kerngesund. :-)
Anschließend wurden die kleinen Bagaluten gechipt, das erste Mal geimpft und es wurde Blut für die RZV-Gendatenbank abgenommen.
Wir sind rundherum zufrieden und ganz stolz, dass sich alle Hundekinder so klasse gezeigt haben.
Nun fehlt nur noch die abschließende Wurfabnahme, welche am Freitag stattfinden wird... und dann können wir unsere F-Kinder in die große, weite Welt entlassen. Bis dato bleiben uns aber noch einige Tage mit den Welpen, die wir auf alle Fälle genießen werden. :-)
|
Sieben Wochen sind unsere F'lies vom Bagalutenhof nun schon alt und die Abgabe nähert sich mit großen Schritten. Die kleinen Mäuse sind mittlerweile schon richtig groß und schwer und sie haben ihren kompletten Welpengarten ordentlich in Beschlag genommen.
Alle Spielgeräte werden ausgiebig benutzt und auch die Hosenbeine, die Schuhe und Ärmel der Welpenbesucher werden gerne für Zerrspiele zweckentfremdet. :-)
Am Donnerstag und heute stand für die Welpen das Mitfahren im Auto auf dem Trainingsprogramm. ;-)
An beiden Tagen haben wir den Manslagter Deich unsicher gemacht. Die Kleinen haben die Autofahrt suuuuper gemeistert und auch die fremde Umgebung stellte für die Bonsai-Hovis überhaupt kein Problem dar... alles wurde genau erkundet und abgeschnüffelt. :-)
Am kommenden Montag werden die F-Kinder unsere Tierärztin Heike Trei aus Canum kennenlernen und die letzte Wurfabnahme wird in der kommenden Woche stattfinden... und dann ist schon bald die aufregende Welpenzeit in unserem Hause vorbei... aber zum Glück bleiben uns noch sieben spannende Tage mit den süßen Zwergen. :-)
|
In den letzten sieben Tagen hatten wir täglich gaaaaanz lieben Besuch in unseren vier Wänden.
Ralf und Doris mit Papa Andor und Oma Gina haben Urlaub in Greetsiel gemacht und waren täglich zu Gast bei uns auf'm Bagalutenhof. :-)
Papa Andor war glaub ich ganz angetan von seiner Meute (auch wenn er der Meinung war, dass er sie noch a bissl erziehen muss) und seine Menschen haben ausgiebig mit den Welpen gekuschelt und gespielt. Zu süß war Oma Gina... man konnte förmlich kleine Herzchen in ihren Augen sehen, als sie zu ihren Enkelkindern durfte. Dieses Bild werden wir niemals vergessen. :-)
Leider konnten nur wenige zukünftige Bagaluten-Bändiger den Vater ihres baldigen Mitbewohners live und in Farbe erleben, weil der Osterurlaub oder die Arbeit dazwischen kam aber spätestens zur NZB haben sie erneut die Möglichkeit, den tollen Papa Andor kennenzulernen.
Ralf und Doris, vielen, vielen, vielen lieben Dank für die tollen Tage hier in Ostfriesland. Wir hatten so viel Spaß miteinander und wir würden uns sehr darüber freuen, wenn wir uns bald in Ostfriesland oder in Kaiserslautern wiedersehen. *schmatz*
|
Fünf Wochen sind unsere F-Kinder vom Bagalutenhof nun schon alt. Die kleinen Mäuse wachsen, wachsen, wachsen und gedeihen und alle haben schon ordentlich an Gewicht zugelegt. Es ist eine wahre Freude die Kleinen im großen Welpengarten zu beobachten. :-) Sie sind unerschrocken und neugierig und alle Welpenspielgeräte werden sofort in Beschlag genommen. Sei es die Hängebrücke, der 6-Fach-Tunnel, die Rampe, das Bällebad in der Schildkröte oder in der Eisenbahn.... alles wird ordentlich genutzt und sind sie mal müde, so schlafen sie sehr gerne auf der überdachten Terrasse auf einer muckeligen Decke und verarbeiten dort ihre Erlebnisse in wilden Träumen :-)
|
Heute war unsere Landesgruppen-Zuchtwartin Heike Lorenz-Haag wieder zu Besuch und die zweite Wurfabnahme stand auf dem Programm. Alle F'lies vom Bagalutenhof sind topfit, sie haben tolle Gewichte (4000 bis 4400g) und es wurden keine zuchtausschließenden Fehler festgestellt.
Wir freuen uns sehr. :-)
|
Enja ist am 15. und 16.03.2018 erfolgreich von Arnie Čerchovské hvozdy verführt und gedeckt worden. Wenn alles gut läuft, wird unser G-Wurf um den 17.05.2018 unseren Bagalutenhof besetzen.
Für uns beginnt erneut die spannende Zeit und hoffentlich wissen wir in 3,5 Wochen mehr.... dann geht's nämlich, zwecks Ultraschall-Untersuchung, zu unserer Tierärztin. :-)
|
Und der liebe Hundegott sprach "Es werde Licht"... In den letzten beiden Tagen hat sich einiges in der Wurfkiste getan. Alle F-Kinder haben nach und nach ihre Augen und Ohren geöffnet :-) Welche eine Freude ist es, in ihre noch bläulichen Augen zu schauen. :-) Seit sie mehr wahrnehmen können, laufen die kleinen Bagaluten immer schneller und sicherer durch die Wurfkiste, sie verlassen diese auch schon für kleine Ausflüge und auch kleine Spielchen unter den Geschwister finden nun statt.
Cara kümmert sich immer noch hingebungsvoll um ihre Kinder und sie erlaubt jetzt auch Banja und Enja den Kontakt zu ihren Mäusen.
Mal gucken was die nächsten Tage so im Bagalutenhof passiert und wir freuen uns auf die aktive Zeit mit den F-Kindern vom Bagalutenhof. :-)
|
Juhuuu, das Warten hat ein Ende... Enja ist seit heute eeeendlich läufig.
Das Abenteuer "G-Wurf" vom Bagalutenhof" geht also langsam los und die Vorfreude steigt.
|
Nun ist die G-Wurf-Planung komplett für uns abgeschlossen. *freu*
Als Erstrüden haben wir den schwarzmarkenen, in Tschechien lebenden Traumrüden Arnie Čerchovské hvozdy genehmigt bekommen.
Doch für den Fall der Fälle, z.B. wenn Arnie krank ist, er meine Enja nicht decken mag oder die Besitzer im Urlaub sind, haben wir für Enja noch einen Ersatzrüden genehmigen lassen.
Unser Ersatzrüde soll der schwarzmarkene Traumrüde Boomer vom Kesseltal sein.
Boomer ist ein bildschöner und sehr sportlicher Rüde... und auch er würde sehr gut zu meiner schwarzmarkenen Zaubermaus passen. :-)
|
Eine Woche sind unsere F-Kinder vom Bagalutenhof nun schon alt. Die kleinen Mäuse wachsen und gedeihen und alle haben die 1000g Körpergewicht erreicht. Es ist eine wahre Freude in die Welpenkiste zu schauen und auch Mama Cara ist richtig, richtig stolz auf ihren zweiten Nachwuchs :-)... und das kann sie auch ruhig sein. Die Kleinen tapsen schon fleißig mit geschlossenen Augen durch die Wurfkiste und wenn sie Caras Milchbar nicht schnell genug erreichen oder nicht ihre Lieblingszitze bekommen, geben sie auch schon kleine Beller von sich. Es ist wirklich zu niedlich. :-)
|
Heute war unsere Landesgruppen-Zuchtwartin Heike Lorenz-Haag zu Besuch und die erste Wurfabnahme wurde durchgeführt. Alle F'lies vom Bagalutenhof sind topfit und es wurden keine zuchtausschließenden Fehler festgestellt. Wir freuen uns sehr über dieses Ergebnis. :-)
Seit heute stehen auch die Namen der kleinen Bagaluten fest. Die drei Rüden heißen nun ganz offiziell Fenjo, Fiete und Frodo. Die drei Mädels heißen Feebee, Fine und Freda. :-)
|
Juhuuu, unsere F-Kinder haben endlich unseren Bagalutenhof besetzt. :-)
Gestern, in der Zeit von 17:12 Uhr bis 22:05 Uhr, haben sechs kleine und seeeehr schwere Bagaluten das Licht der Welt erblickt.
Es sind:
2 Rüden schwarz,
1 Rüde schwarzmarken,
2 Hündinnen schwarzmarken und
1 Hündin schwarz
Herzlich Willkommen im Leben!!!
Cara hat die Geburt suuuuper gemeistert und überstanden. Ihr geht es sehr gut und sie genießt ihr Mutterglück in vollen Zügen. :-)
Sie kümmert sich wirklich rührend um ihre Kleinen und wir sitzen zu gerne staunend vor der Wurfkiste.
Vielen Dank an alle, die in den letzten Tag so fleißig mitgefiebert haben... :-)
|
Kleines Update aus der baldigen Welpenstube... Cara verweigert seit heute ihr Futter und sie hat sich nun auch mit ihrer neuen Wurfkiste angefreundet. Dort hat sie schon mal die Decken umgeräumt, um sich ein gemütliches Wurflager herzurichten. Für uns sieht es sehr ungemütlich aus aber über Geschmack lässt sich ja bekanntlich streiten. :-)
|
Heute war ich mit Cara zum letzten Check-Up bei unserer Tierärztin.
Alles ist im grünen Bereich und Cara macht einen absolut fitten Eindruck, obwohl sie locker acht, neun Kilo mehr auf die Waage bringt als vor ihrer Trächtigkeit. Von daher gehen wir davon aus, dass es kein ganz so kleiner Wurf wird.
Die Spannung steigt von Stunde zu Stunde aber bald wissen wir mehr. :-)
Bis zum Tag X wird Cara weiterhin angemessen bewegt und zum Glück fordert unsere Maus das auch noch ein. :-)
|
Nun hat Cara auch die 8. Trächtigkeitswoche geschafft, ich würde sagen Eeeeendspurt. :-)
Cara geht es nach wie vor hervorragend. Ihre Fressgier hat sich auf ein Maximum gesteigert und überbietet alles, was wir in den bisherigen Trächtigkeiten mit unserer blonden Nike erlebt haben.
Ihre Figur ist mittlerweile mehr als ruiniert. :-) Sie wirkt immer unförmiger und irgendwie passt die Kopfgröße nicht mehr zum Rest des Körpers. Beweisfotos dazu gibt es hier. ;-)
Auch der Wettergott meinte es bisher richtig gut mit Cara. Aufgrund der niedrigen Temperaturen geht sie immer noch gerne mit mir laufen und wenn es nach ihr gehen würde, wäre auch das ein oder andere Ballspiel drin. Aber das ist mittlerweile viel zu gewagt.
Aber bald hat meine schwarze Maus es geschafft und dann ist auch wieder ein kleines Spielchen im Garten möglich. :-)
Jede nur verfügbare Minute verbringen wir nun mit ihr und wir haben seit gestern alle Vorbereitungen getroffen.
Das Welpenzimmer ist aufgebaut, die neue Wurfkiste steht, die gesamte Wurfwäsche ist durchgewaschen und die Welpen-Ziegenmilch, für Notfälle, ist auch aus dem Schwabenländle eingetrudelt. :-)
Nun müssen wir vielleicht nur noch fünf, sechs Tage warten…. es bleibt spannend und aufregend sowieso. ;-)
Bis dato werde ich Cara weiterhin genüüügend Futter geben (obwohl Cara das bestimmt ganz anders sehen wird) und die ein oder andere Tour werde ich auch noch mit ihr laufen gehen.
|
Und wieder eine neue Meldung vom Bagalutenhof. ;-)
Gestern, am späten Abend, habe ich die F-Mini-Bagaluten das erste Mal gespürt. :-)
Eigentlich wollte ich nur ganz vorsichtig Caras Seite bürsten, da gab es schon Protest aus der Einraumwohnung. Es war ein tolles Gefühl und ich mag mir die Action in Caras Bauch gar nicht in Bildern ausmalen. :-)
|
Nun ist Cara schon in der 7. Trächtigkeitswoche. Unglaublich, wie schnell die Zeit vergeht.
Es geht der baldigen Hundemutter immer noch hervorragend und sie hat eigentlich auch nur ein Problem und das heißt Fressen!
Unsere schwarze Maus ist nur noch "hungerleidend" und von morgens bis abends läuft sie mit langen Sabberfäden herum… das sieht nicht wirklich nett aus. ;-)
Mittlerweile haben wir ihre Futterrationen auf vier Mahlzeiten verteilt, damit sie nicht zu viel Masse mit einem Mal im Magen hat. Dennoch scheint es ihr nie zu reichen und sie klaut unser Essen, wenn wir nicht gut darauf aufpassen.
Zudem bettelt Cara was das Zeug hält und sie ist auch überhaupt nicht davon beeindruckt, wenn wir ihr mal etwas deutlicher zu verstehen geben, dass wir unser Essen nicht mit ihr teilen möchten.
Egal, sie trauert jedem Krümelchen nach, der nicht in ihrer eigenen Verwertungsanlage landet. :-)
Was die Bewegung angeht, so ist Cara immer noch sehr gerne mit mir unterwegs, sei es ein ruhiger Spaziergang oder eine schnellere Joggingtour.
 |
Cara am Anfang der 7. Trächtigkeitswoche.
Mehr Fotos gibt's hier. |
Caras schöne, schlanke Modelfigur ist mittlerweile mehr als ruiniert. Äußerlich ist sie jetzt ganz klar trächtig. Wenn sie sich hinsetzt gleicht es bereits einer kleinen Ente. Eine ordentliche Kugel ist jetzt dort, wo früher ihre schlanke Taille war. Das Fell steht an den Seiten ab und die Zitzen haben einen enormen Wachstumsprozess durchlaufen. Es ist wirklich faszinierend ihre Verwandlung live mitzuerleben und ich bin gespannt, wie die kommende Woche verlaufen wird. :-)
|
Wir feiern "Trächtigkeits-Bergfest" mit einem kleinen Zwischenbericht. :-)
Bisher ist Caras Trächtigkeit wie im Lehrbuch beschrieben verlaufen. Sprich, sie wollte anfangs gerne mehr schlafen, sie hatte in der vierten Woche auch drei, vier Tage wo das Futter nicht so gut geschmeckt hat und auch den typischen Trächtigkeitsausfluss hat meine schwarze Maus.
Und aktuell?!... ist
Caras Fressgier absolut nicht mehr zu bremsen und sie versucht uns quasi jedes Brot aus der Hand zu klauen. :-)
Wir haben zwar das Futter umgestellt und auch die Mengen leicht erhöht und dennoch ist sie verfressener denn je.
Selbst die ganzen zusätzlichen Leckerchen, die sie von den Besuchern bekommt, sind in Caras Augen
nur ein Tropfen auf dem heißen Stein... sie will immer mehr, bekommt aber natürlich nicht mehr.
Da bleiben wir auch in den kommenden Wochen ganz konsequent.
Caras Bäuchlein wird nun auch langsam größer... das war's also fürs Erste mit der Modelfigur. :-) Nichtsdestotrotz nimmt sie darauf nicht unbedingt Rücksicht. Sie spielt unverändert gerne eine kleine Runde mit ihrer Tochter Enja und wenn Opa Leckischmecki zur Tür reinkommt, muss dieser auch noch kurz vor Freude angesprungen werden.
Caras künftige Milchbar hat sich auch schon ordentlich verändert und wenn sie liegt, schiebt sie schon mal lieber die Beine weg, als sie anzuziehen.
Zusammengefasst, Cara geht es wirklich sehr, sehr gut und wir werden die kommenden Wochen bestimmt gut über die Bühne bringen, da bin ich mir ganz sicher. :-)
|
Heute war also der Tag der Tage. Der Tag an dem man Gewissheit bekommt, ob die Hündin aufgenommen hat oder nicht.
Auch wenn Caras Verhalten zu 100% für eine Trächtigkeit spricht, so wollten wir es gerne
von unserer Tierärztin Heike Trei absegnen lassen. :-)
|
Beim Ultraschall wurden auf Anhieb einige Fruchtanlagen gesichtet. Die genaue Anzahl wollte ich aber nicht wissen.... ein bisschen Spannung soll uns und den Welpeninteressenten schon noch in den kommenden Wochen erhalten bleiben. ;-) |
Wir freuen uns einfach riesig darüber, dass bald wieder kleine F-Racker den Bagalutenhof besetzen werden.
Bis dato werden wir Cara weiterhin fit halten und auf unser Essen aufpassen. :-)
|
Hier geht es zu Caras Trächtigkeitskalender.
|
Nun ist es amtlich, Dirk und Petra haben eine neue Zuchthündin.
"Unsere" blonde Power-Eefke (gen. Enie) hat alle strengen Zuchtvoraussetzungen erfüllt und darf die Zucht "vom Simmersbach" ab sofort fortführen.
Wir freuen uns wirklich riesig mit Petra und Dirk und wünschen ihnen für die Zukunft alles Gute. :-)
|
Es gibt ab jetzt einen tollen Deckrüden vom Bagalutenhof mehr. :-)
Emil vom Bagalutenhof ist jetzt in der Landesgruppe Nordrhein Westfalen als Deckrüde gelistet und darf passende Hovawart-Hündinnen mit VDH- oder FCI-Papieren in seinem Garten in Gelsenkirchen willkommen heißen. ;-)
|
Wir wünschen allen Bagalutenfamilien, Freunden, Bekannten und Besuchern unserer Webseite einen tollen Start ins neue Jahr 2018 sowie Gesundheit und Erfolg. :-)
|
|
|
|